GeneAll

PRODUCTS

이미지

GenPlax™ CChMVd cPCR Detection Kit

GenPlax™ CChMVd cPCR Detection Kitcomplete PCR (cPCR) 방식을 기반으로 국화 황화 얼룩 바이로이드(chrysanthemum chlorotic mottle viroid, CChMVd)의 특이 유전자를 검출하기 위해 설계된 단일 증폭 기반 진단 키트입니다.

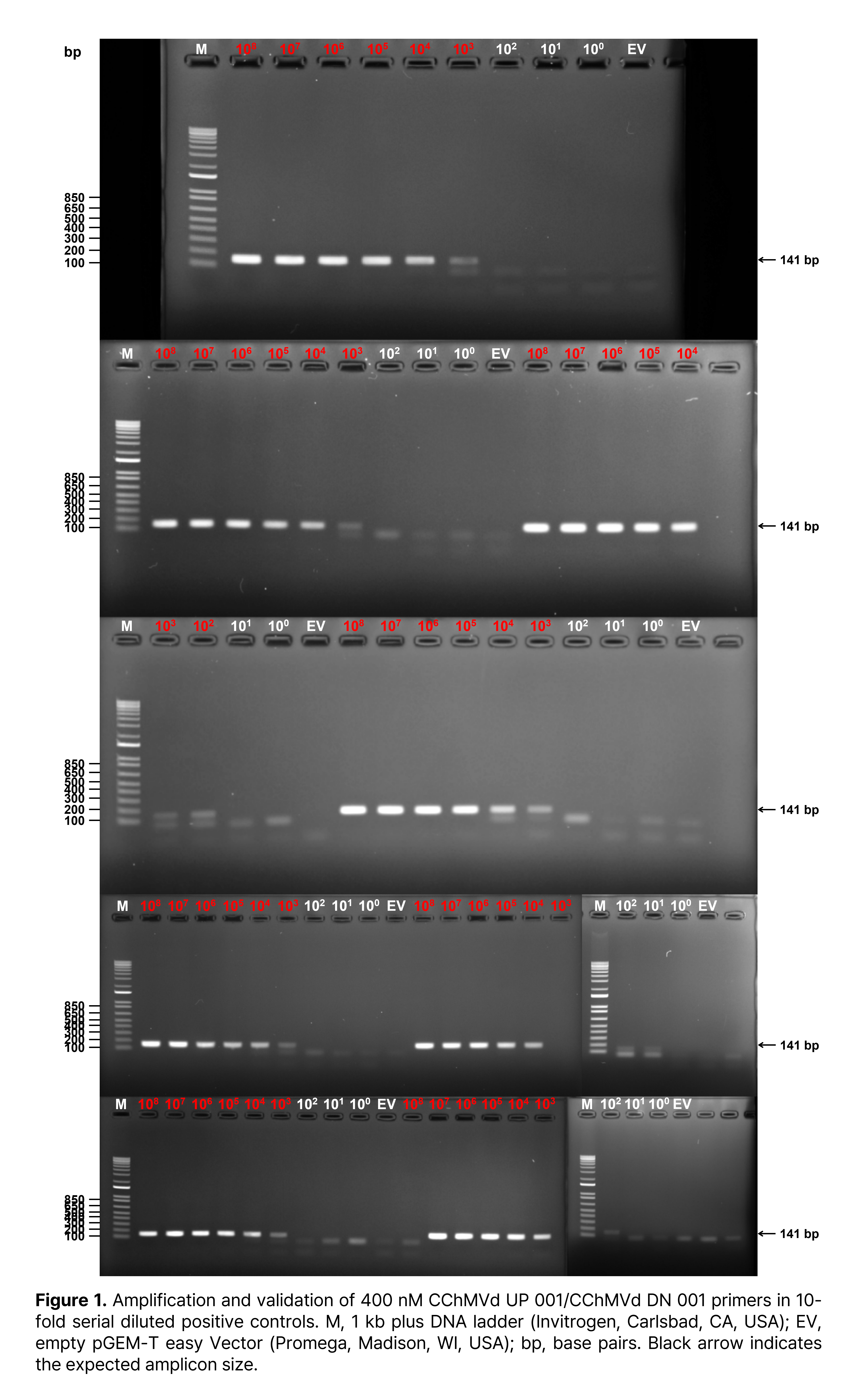
검출한계(LOD)는 103 copies (plasmid DNA)로, 낮은 농도의 타깃 유전자도 민감하게 검출할 수 있으며, Hot Start PCR 방식을 채택하여 반응 준비 과정이나 초기 사이클에서 발생할 수 있는 비특이적 증폭 및 primer-dimer 형성을 효과적으로 억제합니다. 또한 UDG (Uracil-DNA Glycosylase)가 포함되어 이전 PCR 산물로 인한 교차 오염을 방지하며, 양성대조군(positive control; PC)을 제공하여 타깃 증폭 산물의 정확한 위치를 쉽게 확인할 수 있습니다.

본 키트의 분석 결과는 아가로스 겔 전기영동(agarose gel electrophoresis)을 통해 확인할 수 있습니다.

SCALE / SIZE

Overview

GenPlax™ CChMVd cPCR Detection Kit는 complete PCR (cPCR) 방식을 기반으로

국화 황화 얼룩 바이로이드(chrysanthemum chlorotic mottle viroid, CChMVd)의 특이 유전자를 검출하기 위해 설계된 단일 증폭 기반 진단 키트입니다.

검출한계(LOD)는 103 copies (plasmid DNA)로, 낮은 농도의 타깃 유전자도 민감하게 검출할 수 있으며

Hot Start PCR 방식을 채택하여 반응 준비 과정이나 초기 사이클에서 발생할 수 있는 비특이적 증폭 및 primer-dimer 형성을 효과적으로 억제합니다.

또한 UDG (Uracil-DNA Glycosylase)가 포함되어 이전 PCR 산물로 인한 교차 오염을 방지하며,

양성대조군(positive control; PC)을 제공하여 타깃 증폭 산물의 정확한 위치를 쉽게 확인할 수 있습니다.

본 키트의 분석 결과는 아가로스 겔 전기영동(agarose gel electrophoresis)을 통해 확인할 수 있습니다.

01

FEATURES

  • Singleplex PCR Detection Kit
  • Hot Start PCR enzyme
  • UDG System: 이전 PCR 산물에 의한 오염 방지
02

ANALYTICAL PERFORMANCE

  • 검출한계(LOD): 103 copies (plasmid DNA)
  • 특이도(Specificity): 100%
  • 민감도(Sensitivity): ≥95%
  • 정확도(Accuracy): ≥95%
03

EASY TO USE

  • 2X Master Mix
  • 분석에 필요한 모든 시약 제공
  • 신속하고 간편한 검사
  • 높은 특이도, 민감도 및 정확도 제공
04

APPLICATIONS

  • 국화에 감염되어 질병을 일으키는 chrysanthemum chlorotic mottle viroid (Pelamoviroid maculachrysanthemi, CChMVd)의 특정 유전자를 검출

specifications

Technical Information

Specifications GenPlax™ CChMVd cPCR Detection Kit
PCR-based assays cPCR (complete PCR)
Sample types The total RNA (or viral RNA) extracted from CChMVd-infected plants or plants exhibiting CChMVd-like symptoms
LOD ≤103 copies (plasmid DNA)
Specificity 100%
Sensitivity ≥95%
Accuracy ≥95%
Targets Chrysanthemum chlorotic mottle viroid
(Pelamoviroid maculachrysanthemi, CChMVd)
PCR template Complementary DNA (cDNA)
Storage conditions Stable for 1 year at -15 ℃ to -25 ℃

Kit Contents

GenPlax™ CChMd cPCR Detection Kit
Cat. No. 858-100
Type Master mix
Size 100 tests
No. Cat. No. Components Quantity
1 858-001 GenPlax™ CChMVd cPCR 2X Master Mix (UDG, Dye) 1 mL
(2 x 500 μL)
2 858-002 GenPlax™ CChMVd Primer Mix 500 μL
(2 x 250 μL)
3 858-003 GenPlax™ CChMVd Positive Control 500 μL
(2 x 250 μL)
4 850-001 GenPlax™ Nuclease-Free Water 1 mL
(2 x 500 μL)
5 IFU858E Instructions for Use (IFU) 1

Technical Data

Protocols

Supplementary Protocols

Resources

Application Notes

References

Brochures