GeneAll

PRODUCTS

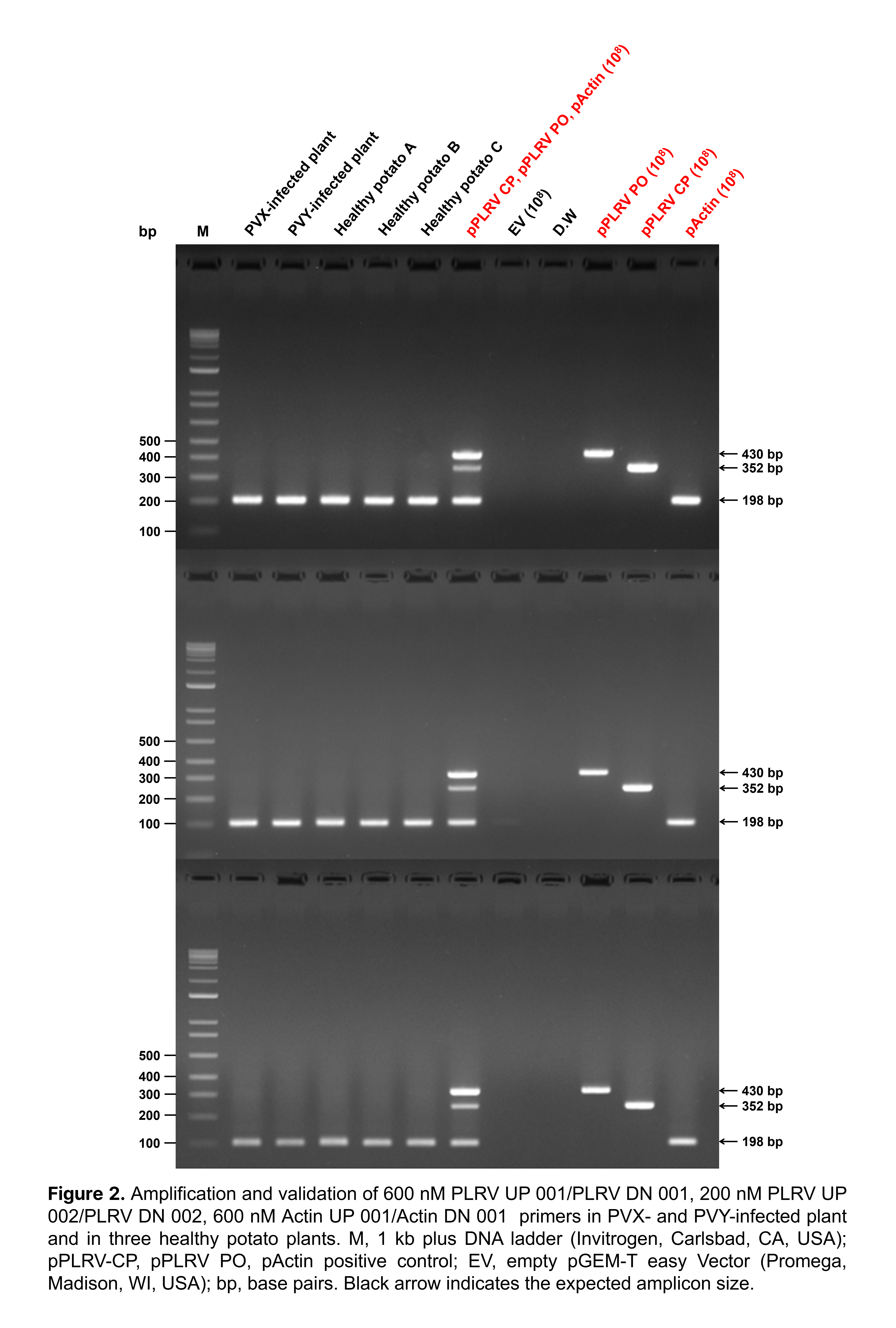
이미지

GenPlax™ PLRV Dual-target cPCR Detection Kit (with IC)

GenPlax™ PLRV Dual-target cPCR Detection Kit (with IC)complete PCR (cPCR) 방식을 기반으로 감자잎말림바이러스(potato leafroll virus, PLRV)와 감자 actin 유전자를 동시에 증폭·검출하는 multiplex PCR 진단 키트입니다. PLRV 유전체 내 두 개의 타깃 영역을 동시에 증폭하며, actin 유전자는 내부대조군(internal control; IC)으로 작용하여 시료의 무결성과 PCR 반응 전반의 신뢰성을 검증합니다.

검출한계(LOD)는 103 copies (plasmid DNA)로, 낮은 농도의 타깃 유전자도 민감하게 검출할 수 있으며, Hot Start PCR 방식을 채택하여 반응 준비 과정이나 초기 사이클에서 발생할 수 있는 비특이적 증폭 및 primer-dimer 형성을 효과적으로 억제합니다. 또한 UDG (Uracil-DNA Glycosylase)가 포함되어 이전 PCR 산물로 인한 교차 오염을 방지하며, 양성대조군(positive control; PC)을 제공하여 타깃 증폭 산물의 정확한 위치를 쉽게 확인할 수 있습니다.

본 키트의 분석 결과는 아가로스 겔 전기영동(agarose gel electrophoresis)을 통해 확인할 수 있습니다.

SCALE / SIZE

Overview

GenPlax™ PLRV Dual-target cPCR Detection Kit (with IC)는 complete PCR (cPCR) 방식을 기반으로

감자잎말림바이러스(potato leafroll virus, PLRV)와 감자 actin 유전자를 동시에 증폭·검출하는 multiplex PCR 진단 키트입니다.

PLRV 유전체 내 두 개의 타깃 영역을 동시에 증폭하며, actin 유전자는 내부대조군(internal control; IC)으로 작용하여

시료의 무결성과 PCR 반응 전반의 신뢰성을 검증합니다.

검출한계(LOD)는 103 copies (plasmid DNA)로, 낮은 농도의 타깃 유전자도 민감하게 검출할 수 있으며

Hot Start PCR 방식을 채택하여 반응 준비 과정이나 초기 사이클에서 발생할 수 있는 비특이적 증폭 및 primer-dimer 형성을 효과적으로 억제합니다.

또한 UDG (Uracil-DNA Glycosylase)가 포함되어 이전 PCR 산물로 인한 교차 오염을 방지하며,

양성대조군(positive control; PC)을 제공하여 타깃 증폭 산물의 정확한 위치를 쉽게 확인할 수 있습니다.

본 키트의 분석 결과는 아가로스 겔 전기영동(agarose gel electrophoresis)을 통해 확인할 수 있습니다.

01

FEATURES

  • Multiplex PCR Detection Kit
  • Hot Start PCR enzyme
  • 감자에서 주요 문제를 일으키는 PLRV 계통을
    특이적으로 검출
  • actin 유전자를 internal control (IC)로 사용하여
    시료의 무결성과 PCR 반응 전반의 신뢰성을 검증 가능
  • UDG System: 이전 PCR 산물에 의한 오염 방지
02

ANALYTICAL PERFORMANCE

  • 검출한계(LOD): 103 copies (plasmid DNA)
  • 특이도(Specificity): 100%
  • 민감도(Sensitivity): ≥95%
  • 정확도(Accuracy): ≥95%
03

EASY TO USE

  • 2X Master Mix
  • 분석에 필요한 모든 시약 제공
  • 신속하고 간편한 검사
  • 높은 특이도, 민감도 및 정확도 제공
04

APPLICATIONS

  • 감자에 감염되어 질병을 일으키는 potato leafroll virus (Polerovirus PLRV, PLRV)의 특정 유전자를 검출

specifications

Technical Information

Specifications GenPlax™ PLRV Dual-target cPCR Detection Kit (with IC)
PCR-based assays cPCR (complete PCR)
Sample types The total RNA (or viral RNA) extracted from PLRV-infected plants or plants exhibiting PLRV-like symptoms
LOD ≤103 copies (plasmid DNA)
Specificity 100%
Sensitivity ≥95%
Accuracy ≥95%
Targets Potato leafroll virus (Polerovirus PLRV, PLRV)
PCR template Complementary DNA (cDNA)
Storage conditions Stable for 1 year at -15 ℃ to -25 ℃

Kit Contents

GenPlax™ PLRV Dual-target cPCR Detection Kit (with IC)
Cat. No. 864-100
Type Master mix
Size 100 tests
No. Cat. No. Components Quantity
1 864-001 GenPlax™ PLRV Dual cPCR 2X Master Mix (UDG, Dye) 1 mL
(2 x 500 μL)
2 864-002 GenPlax™ PLRV Dual-target Primer Mix (with IC) 400 μL
(2 x 200 μL)
3 864-003 GenPlax™ PLRV Dual-target Positive Control 600 μL
(2 x 300 μL)
4 850-001 GenPlax™ Nuclease-Free Water 1 mL
(2 x 500 μL)
5 IFU864E Instructions for Use (IFU) 1

Technical Data

Protocols

Supplementary Protocols

Resources

Application Notes

References

Brochures